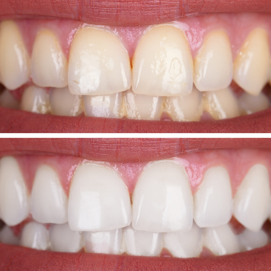
Bleaching
WeiĂź ist nicht gleich weiĂź
Die natürliche Zahnfarbe ist genetisch bestimmt und kann daher von Mensch zu Mensch deutlich variieren. Zusätzlich führen äußere Einflüsse wie Nikotin, Kaffee, Tee oder Rotwein häufig zu sichtbaren Verfärbungen, die das Lächeln dunkler wirken lassen.
Ein professionelles Bleaching ermöglicht eine effektive und schonende Aufhellung der Zähne. Um eine optimale Wirkung zu erzielen, empfiehlt sich vorab eine professionelle Zahnreinigung (PZR). Dabei werden harte und weiche Beläge sowie oberflächliche Verfärbungen entfernt – eine saubere Ausgangsbasis, damit das Bleichgel gleichmäßig wirken kann und das Ergebnis möglichst natürlich und strahlend ausfällt.
Welches Bleaching-Verfahren angewendet wird, entscheidet sich immer individuell, da nicht jede Methode für alle Zahnzustände gleichermaßen geeignet ist. Grundvoraussetzung sind gesunde Zähne und intakte Füllungen oder Restaurationen, um unerwünschte Reaktionen oder Schäden durch das Bleichmaterial zu vermeiden. Eine sorgfältige zahnärztliche Untersuchung vorab stellt daher sicher, dass das Bleaching für Sie sicher, wirksam und erfolgreich durchgeführt werden kann.
Power Bleaching
In der Praxis
Beim Power-Bleaching handelt es sich um ein besonders intensives und wirkungsvolles Aufhellungsverfahren, das vollständig in der Praxis durchgeführt wird. In mehreren aufeinanderfolgenden Durchgängen wird ein hochkonzentriertes Bleichgel auf die Zähne aufgetragen. Die Wirkung ist unmittelbar sichtbar: Die Zähne können sich um mehrere Farbnuancen aufhellen und ihrer natürlichen, jugendlicheren Zahnfarbe wieder deutlich näherkommen.
Das Verfahren erfolgt kontrolliert und stufenweise innerhalb einer einzigen Sitzung, bis das individuell gewünschte Ergebnis erreicht ist. Die in unserer Zahnarztpraxis Dr. Bergschneider in Lippstadt verwendeten Bleachingmaterialien sind zahnmedizinisch geprüft, greifen die Zahnsubstanz nicht an und besitzen zusätzlich einen kariesprotektiven Effekt. So wird ein strahlendes Ergebnis mit größtmöglicher Sicherheit und Schonung ermöglicht.
Soft Bleaching
FĂĽr zu Hause
Beim Soft-Bleaching (Home-Bleaching) wird das Aufhellungsverfahren teilweise zu Hause durchgeführt – auf Basis einer professionellen Vorbereitung in unserer Praxis. Zunächst fertigen wir in unserem eigenen Praxislabor individuell angepasste Bleachingschienen für Sie an. Diese Schienen befüllen Sie anschließend zu Hause selbstständig mit einem milden Bleichgel und tragen sie über mehrere Tage für einige Stunden täglich.
Im Gegensatz zum sofort sichtbaren Effekt des Power-Bleachings erfolgt die Aufhellung beim Soft-Bleaching schrittweise. Nach einigen Tagen zeigt sich das Endergebnis: eine schonende, gleichmäßige und natürliche Aufhellung Ihrer Zahnfarbe – flexibel in Ihrem eigenen Alltag umsetzbar.


