Ästhetik und Zahnerhaltung
Die Prophylaxe ist das beste Mittel um Karies zu verhindern und setzt den Grundstein der Zahnerhaltung und Ästhetik. Sollte sich dennoch eine kariöse Läsion eingeschlichen haben, so muss der Defekt und die Karies vollständig entfernt werden, um eine weitere Zerstörung des Zahnes zu verhindern. Das Ausmaß des Defekts bestimmt die Art der anschließenden Versorgung. Die konservierende und ästhetische Zahnheilkunde bietet mit kosmetisch anspruchsvollen Kunststofffüllungen, Veneers und plastischen Aufbauten sowie Inlays in Keramik oder Gold eine Bandbreite an Möglichkeiten, um den Zahndefekt optisch anspruchsvoll zu beseitigen. Gleichzeitig bringt die Ästhetik und Zahnerhaltung die Möglichkeit mit sich die Form und Farbe der Zähne zu verändern, durch kleine Korrekturen und ohne viel Substanz des Zahnes dafür opfern zu müssen.
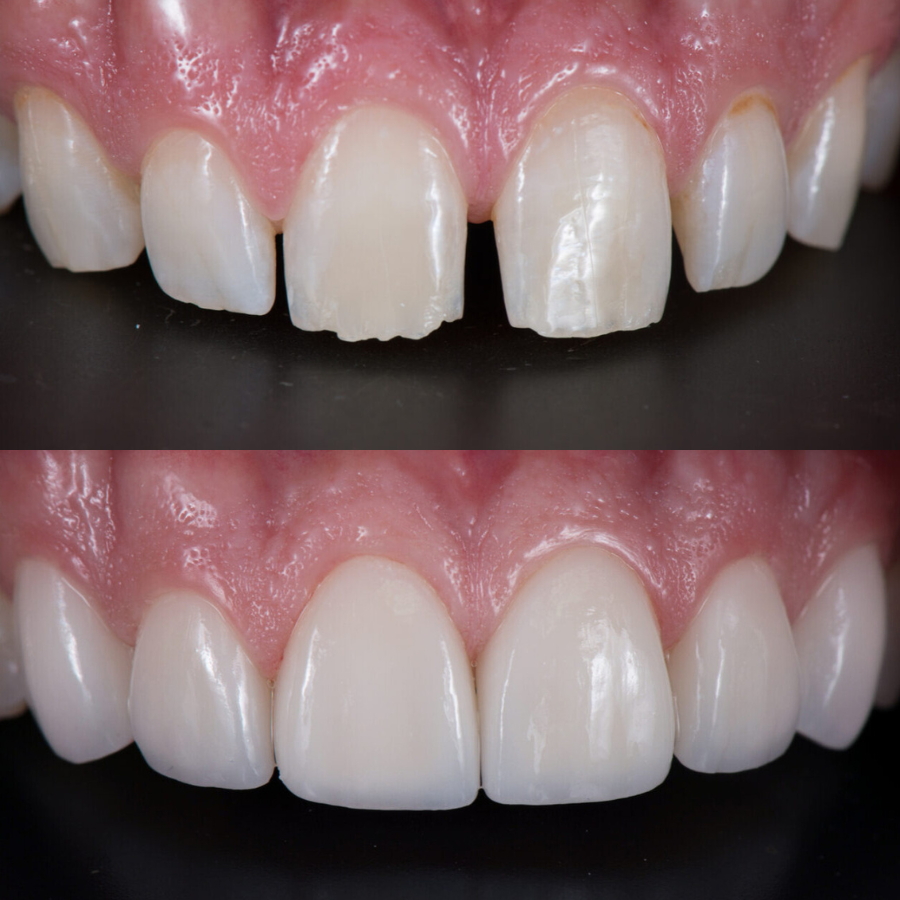
Veneers
Wenig Verlust, große Wirkung
Veneers sind eine moderne, minimalinvasive Möglichkeit, sowohl die Ästhetik als auch die natürliche Form eines Zahnes präzise wiederherzustellen. Die dünnen, zahnfarbenen Keramikschalen kommen überall dort zum Einsatz, wo funktionelle oder ästhetische Korrekturen nötig sind – etwa bei inneren Verfärbungen, Schmelzfehlbildungen, Frontzahnschmelzfrakturen, unfallbedingten Schäden oder sichtbar gewordenen Füllungen. Auch kleinere Fehlstellungen, Lücken wie ein Diastema sowie gewünschte Zahnumformungen und eine Harmonisierung des Zahnbogens lassen sich damit sehr schonend realisieren.
Im Gegensatz zu einer Krone wird der Zahn dafür nicht vollständig beschliffen, sondern nur minimal an der sichtbaren Außenfläche vorbereitet. So bleibt gesunde Zahnsubstanz weitgehend erhalten, während leichte Defekte oder Unregelmäßigkeiten ausgeglichen werden und ein natürliches, harmonisches Gesamtbild entsteht. Ein entscheidender Teil des Erfolgs ist die präzise Farbanpassung. Dank unseres hauseigenen Zahntechnikers erfolgt diese bereits beim ersten Termin, sodass jedes Veneer optimal auf Ihre individuelle Zahnfarbe abgestimmt wird und sich nahtlos in Ihr Lächeln einfügt. Veneers verbinden hohe zahnmedizinische Qualität mit ästhetischer Präzision – für ein authentisches, strahlendes Lächeln.
Kunststofffüllungen
Das 1×1 der Zahnerhaltung
Bei kleinen bis mittelgroßen Defekten stellt eine hochwertige Füllungstherapie die Behandlung der Wahl dar. Dabei spielt das verwendete Material eine entscheidende Rolle. In unserer Praxis arbeiten wir nahezu ausschließlich mit modernen Kompositen – hochwertigen, zahnfarbenen Kunststoffen, die eine besonders zuverlässige Versorgung ermöglichen.
Komposite verbinden sich fest mit der Zahnoberfläche und stabilisieren den Zahn von innen heraus. Dadurch wird er widerstandsfähig gegenüber Kaukräften und langfristig belastbar. Durch eine sorgfältige Mehrschichttechnik tragen wir verschiedene, farblich abgestimmte Kompositmassen so auf, dass die Versorgung ästhetisch vollkommen natürlich wirkt und sich harmonisch in die Zahnsubstanz einfügt.
Viele Patientinnen und Patienten haben zudem mit empfindlichen Zahnhälsen zu kämpfen. Durch Zahnfleischrückgang liegt die Zahnhalsregion häufig frei und reagiert schmerzempfindlich. Auch hier können wir gezielt helfen und beraten Sie kompetent zu geeigneten Maßnahmen und Behandlungsmöglichkeiten.
Plastische Aufbauten
Kleine Korrekturen – große Wirkung
Viele kleine ästhetische Unregelmäßigkeiten lassen sich heute minimalinvasiv und sehr schonend mit zahnfarbenen Kompositmaterialien ausgleichen. Diese plastischen Aufbauten ermöglichen es, Form, Farbe und Harmonie der Frontzähne präzise zu optimieren – oft ohne, dass eine umfangreichere prothetische Versorgung notwendig wird.
Besonders effektiv ist das Vorgehen bei sogenannten „schwarzen Dreiecken“, die durch einen Rückgang des Zahnfleisches sichtbar werden und das Lächeln optisch unterbrechen. Durch fein abgestufte Schichttechniken können diese Bereiche substanzschonend aufgefüllt und ästhetisch geschlossen werden. Auch kleine Lücken – etwa zwischen den Frontzähnen – lassen sich auf diese Weise korrigieren, um ein gleichmäßigeres, harmonisches Zahnbild zu erreichen.
Der Bereich Ästhetik & Zahnerhaltung bietet zahlreiche Möglichkeiten, mit vergleichsweise geringem Aufwand beeindruckende Resultate zu erzielen. Gerne beraten wir Sie persönlich, welche individuellen Korrekturen für Ihr natürliches, strahlendes Lächeln sinnvoll und umsetzbar sind.



